MENU
医院紹介information
診療案内menu
お悩みで探すsearch
インプラントimplant
オールオン4allon4
ザイゴマインプラントzygoma
症例case
医院紹介information
診療案内menu
お悩みで探すsearch
インプラントimplant
オールオン4allon4
ザイゴマインプラントzygoma
症例case
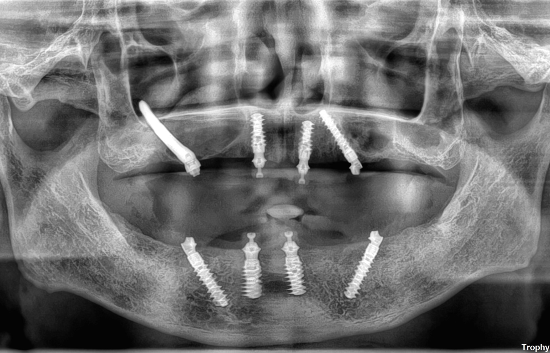
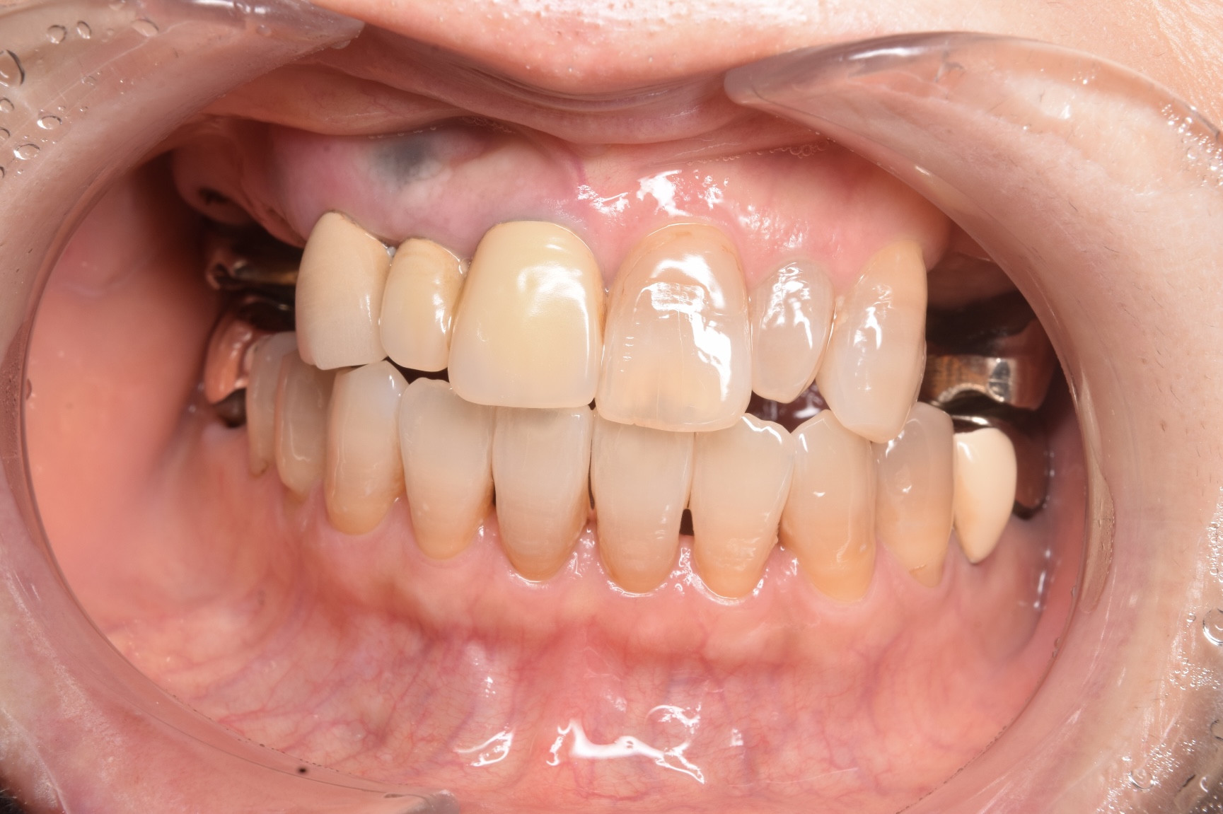
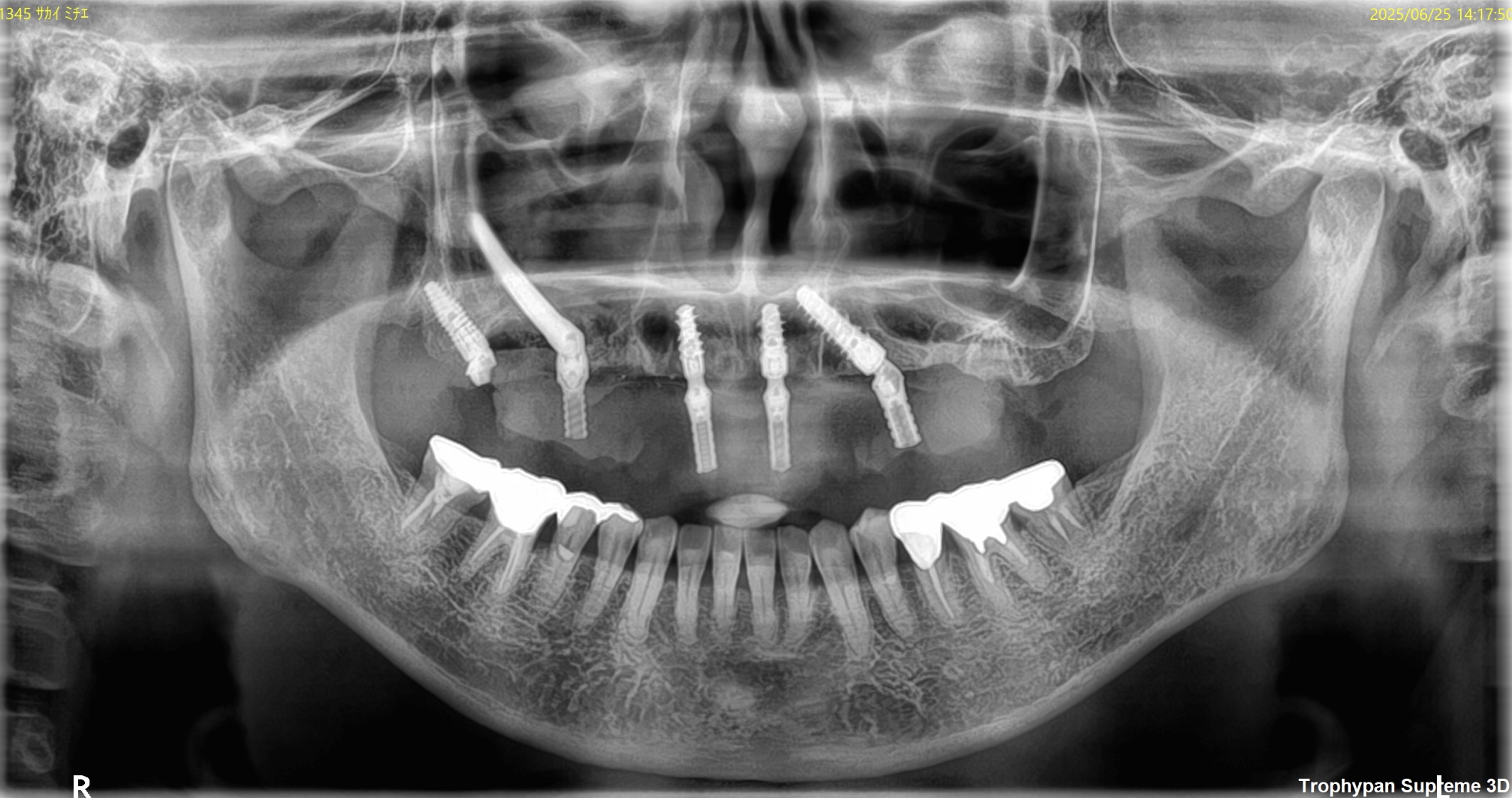
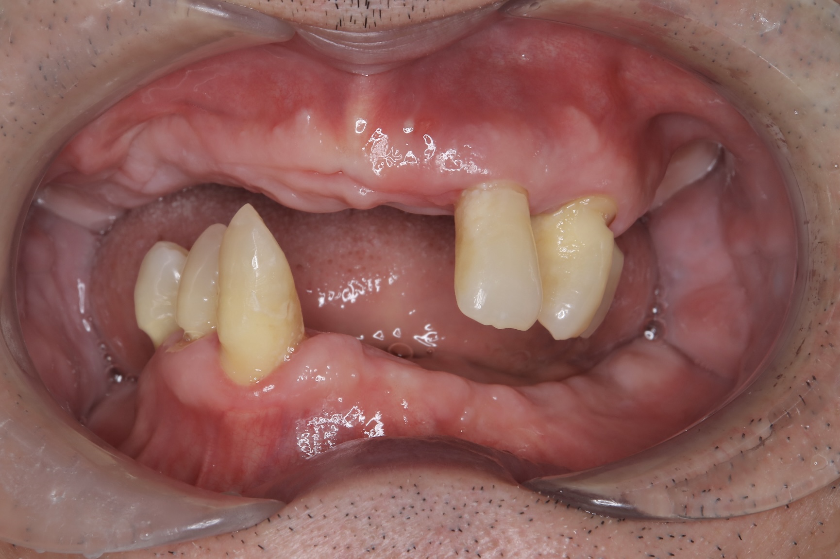
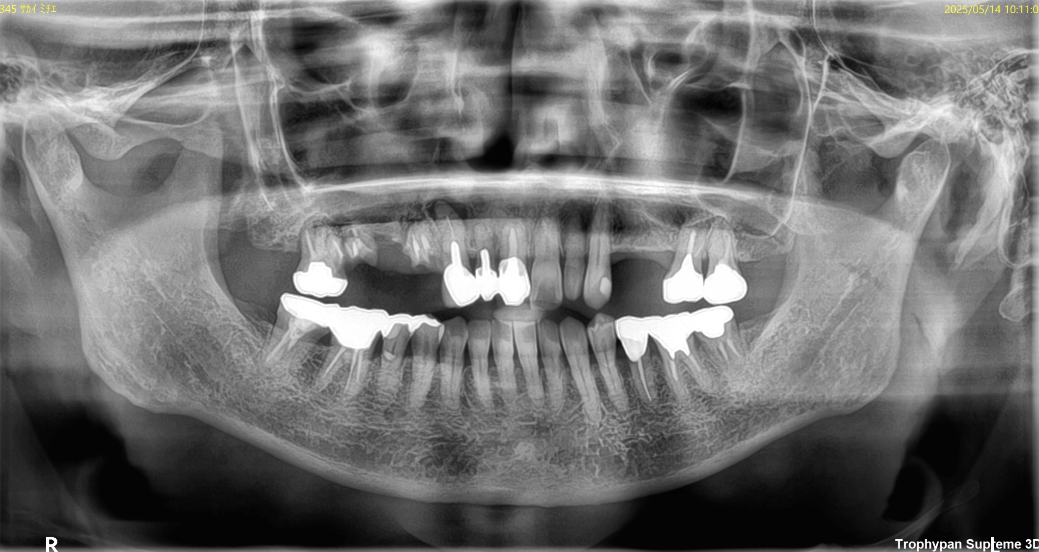
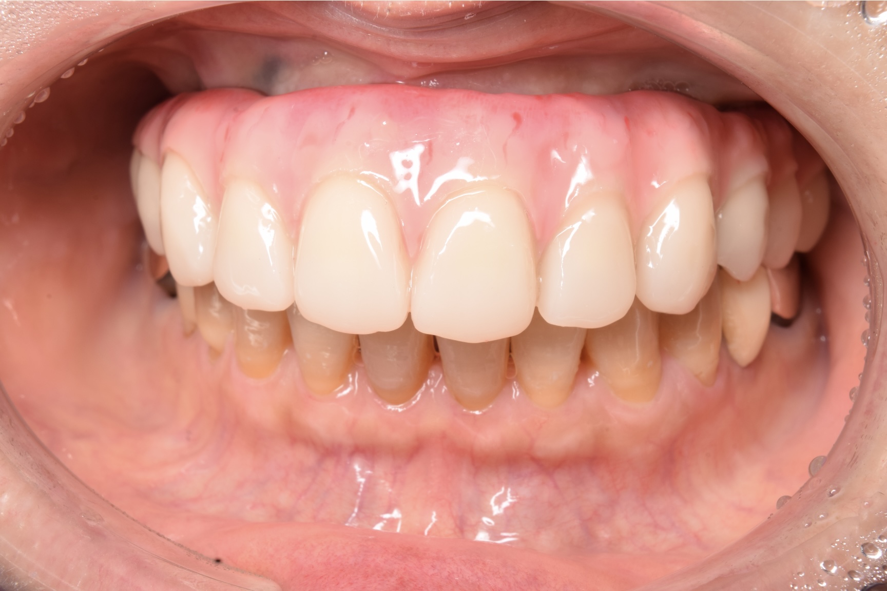
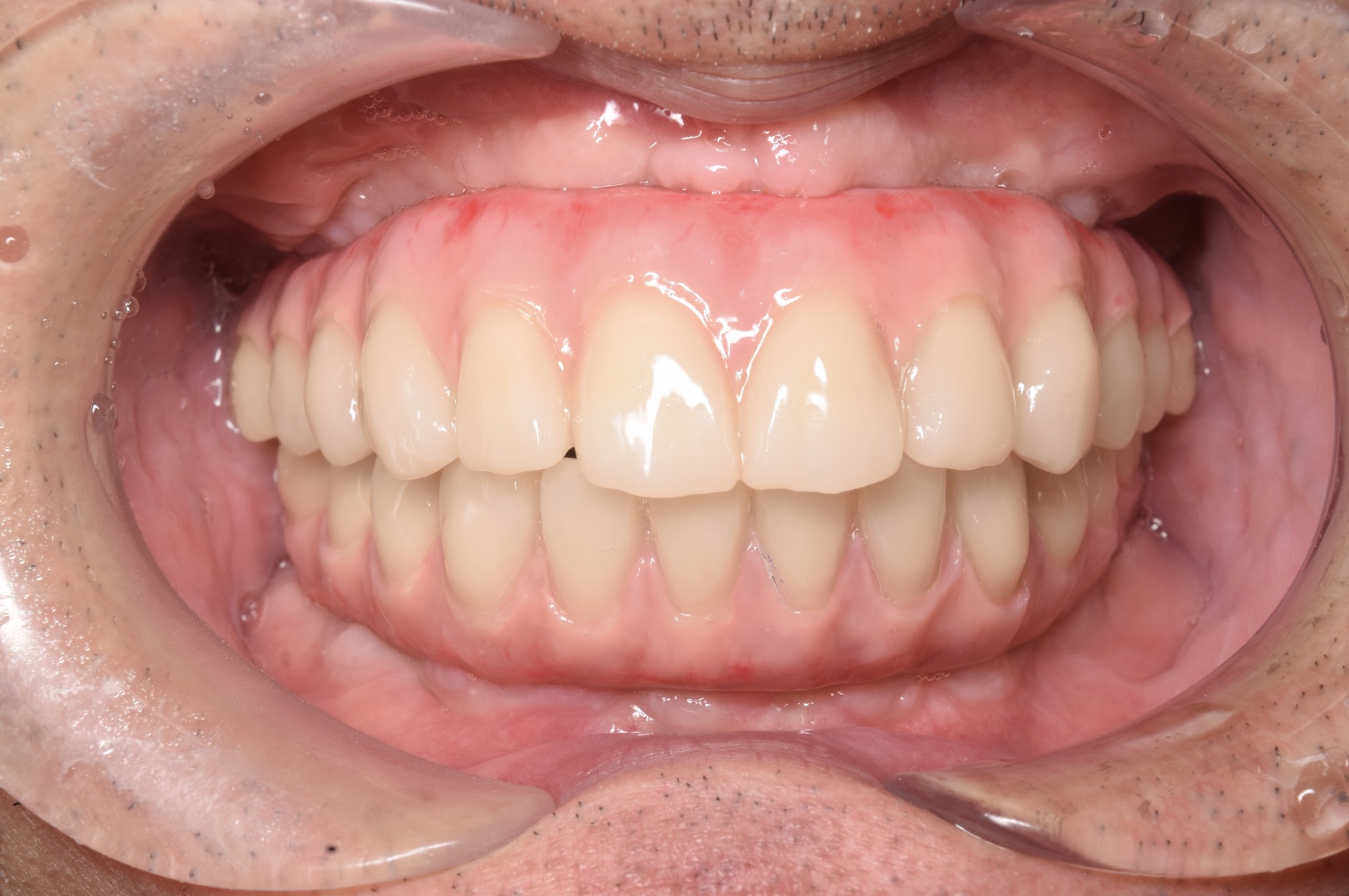
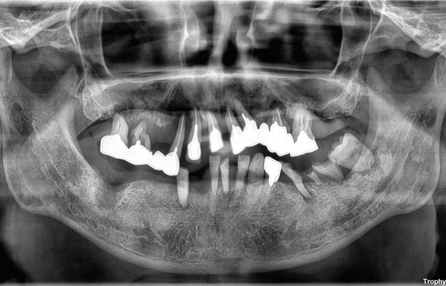
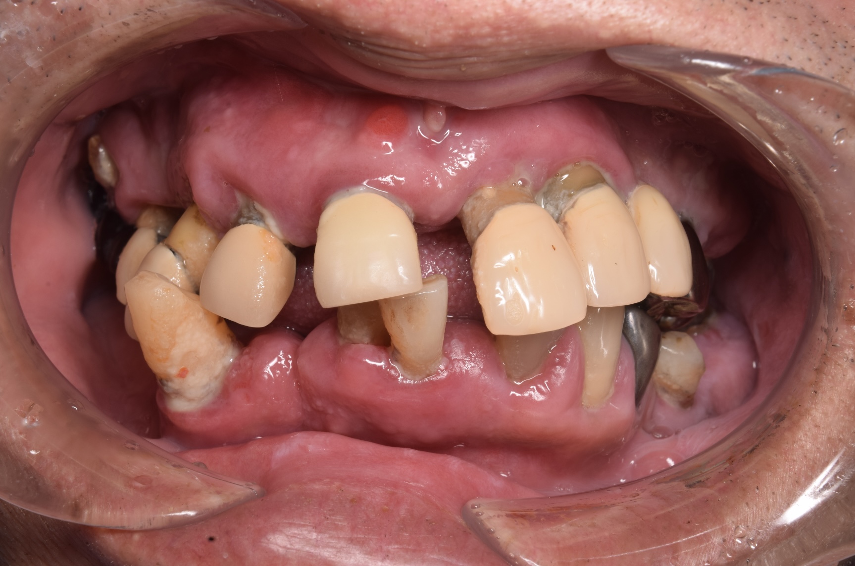
CASE
1
2
3
4
5

ご来院の動機
治療を終えて