歯のお悩みは、
まず無料カウンセリングへ
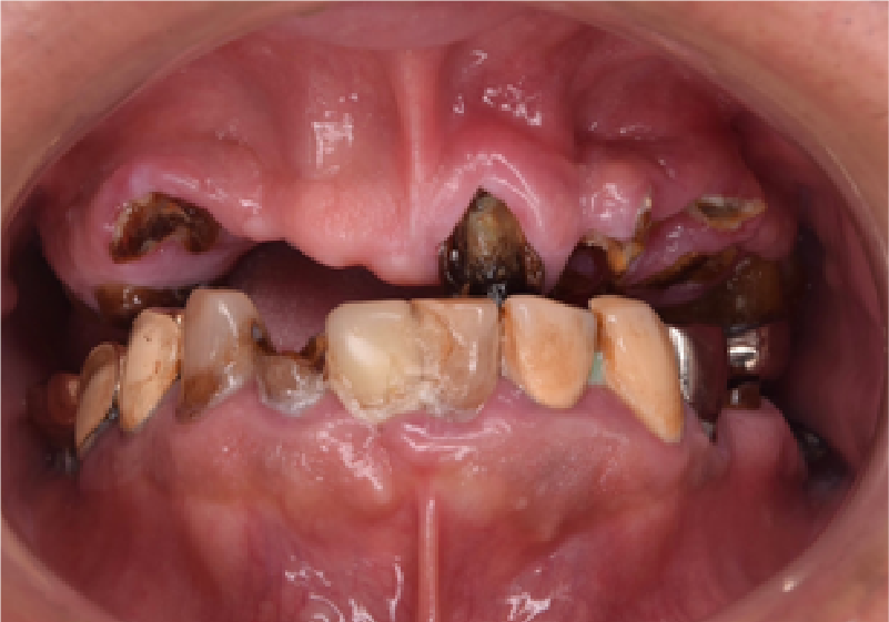
虫歯で穴が空いたまま、抜けたまま放ってる歯がいくつもあったりした場合、歯科医師に「よくここまで放っておいた」という目でみられるのではないかと思う方は多いと思います。
中には、確かにそういう目でみる歯科医師も現実にはいるかもしれません。
ただ、私たちのクリニックではそういう目で患者さんをみることは絶対ありません。
また、私たちのクリニックでは初めての来院時に必ずカウンセリングをしています。すぐに診療台にご案内するのではなく、治療の前にあなたのお話をじっくりお聞きします。
このカウンセリングの場で思っていることを何でもお話しいただき、ご希望も教えていただきながら丁寧にご対応させて頂きます。
そして、治療に入る前に、必ず治療計画の説明をして、ご納得して頂いてから治療に入ります。
いきなり治療を始めるという事はありませんのでご安心くださいね。
そのお気持ちはすごくわかります。実際に当院へ来院される患者さんご自身がそう仰る事もよくあるからです。
特に女性の方や若い方とかは、こういう心配をされると思います。
私たちのクリニックでは、人の事を思いやる気持ちを持つことを理念としておりますので、そのようなことは絶対にありません。
また、私たちはどんな状態のお口の中を見た時も、驚くことは全くありません。最初のお口を開ける瞬間はとっても勇気がいるかもしれませんが、少しずつで大丈夫ですので見せていただければと思います。
また、女性歯科医師をご希望の場合も仰って下さいね。当院は女性歯科医師や女性カウンセラーもいます。
今まで色んな歯医者に行ってみたけど、なかなかいいところに巡り会えなくて…今の状態なんです。詳しくお話を伺うと、過去に心に傷が残るような言葉を言われたり、治療を放棄されてしまったといった経験をされている方がとても多いのです。
そして、その後歯医者に行こうと思っても一歩踏み出せなくて…こんな想いを抱えて悩んでいる人もご安心ください。
私たちのクリニックでは、再び辛い思いをされることがないよう、今までの歯科治療での経験についても教えていただき、スタッフ全員であなたの治療をサポートします。
治療の内容も幅広く対応しておりますので、一度断られてしまった方もセカンドオピニオンとしてお話を聞くだけでもお越しになってくださいね。
歯の治療やクリーニングで痛みが怖いという方は非常に多いです。
痛みに耐えながら受けた治療を思い出すと、なかなか次の一歩を踏み出せないですよね。
そこで無痛で治療ができれば少しずつ前に進んでいけます。私たちのクリニックでは、治療もクリーニングも無痛治療に非常に力を入れてますのでご安心くださいね。
また、常に歯科医師や歯科衛生士が痛みに配慮し、声かけを行なっていますので、我慢することなく教えていただきながら痛みを我慢しなくても進める体制を整えております。
お気軽にご相談くださいね。
無痛治療についての取り組みはこちらをご覧ください。
虫歯が多過ぎたり、抜けた歯があって、お口の中がボロボロなのに、本当にちゃんとキレイに治るんだろうか?という疑問をお持ちの方は多いと思います。
これにつきましては、完全にご安心下さい。
私たちは歯科治療のプロですので、さまざまな選択肢をご提案し、その中からあなたに合った方法を相談し、治します。
お仕事がお忙しい方や、歯医者があまり好きじゃない方にとって、どうしても治療の期間や回数が気になって、行くのが億劫になってしまいますよね。
そういう方は、虫歯をなるべくまとめて治したり、色々な治療方法があります。
「歯の治療が必要だとわかっていても、
体が拒否してしまう」
過去の辛い経験が邪魔をして、
一歩踏み出せない。
その悩みは、決して
あなた一人だけのものではありません。
当院に来られる患者様の多くが、
深いトラウマを乗り越えられています。
歯のお悩みは、
まず無料カウンセリングへ
FEATURE
治療時の「不快感」、麻酔注射時の「痛み」。これはどんな人でも嫌です。苦手に思うと思います。
当院がこれを払拭するためにどんな工夫を行なっているか?
そのため当院では独自の麻酔法、そして静脈内鎮静法などを行っています。
患者さんの状況に合わせて様々な配慮を行っています。
それぞれご紹介します。
極端に「痛み」が苦手な方には「睡眠無痛治療(静脈内鎮静法)」をお勧めしています。
痛みや恐怖心などがない状態(眠っている状態)で治療が終わります。鎮静薬を注入すると、すぐにほぼ睡眠状態になります。治療中の記憶がほぼありません。従って、痛みや、音、振動なども感じることはありません。皆さん「気づいたら治療が終わっていた」とおっしゃいます。お勧めしているのは下記のような方です。
「歯科恐怖症」の方「嘔吐反射」(オエっとなりやすい)が強い方「ストレスなく」治療を終えたい方、
ご希望のかたはお気軽にお声がけください。
歯型を取る時に、オエっと気持ち悪くなった経験はありませんか?
当院では口腔内スキャナーと呼ばれる小さな口腔内カメラを使って型取りをすることができるようになりました。
この方法なら、何度も型取りする必要がなく、治療の負担を軽減することができます。
お口の状態によっては、他の人には聞かれたくない方もいらっしゃると思います。ご安心ください。
ななつ星デンタルクリニックには「個室の診療室」「カウンセリングルーム」がありますので、そこでプライベートなお話、
そして個室の診療室では治療も可能になっています。
歯医者に「トラウマ」のある方は、1日でも治療を早く終わらせたいと思っていると思います。
そのため、当院では「1日で見た目や機能を回復させるインプラント治療」を行い、通常よりも短い期間で治療を完了させる「短期集中治療」を行っています。
それによって、働かれている方もお仕事を休んだりせずライフスタイルをそのまま維持して過ごすことができます。

| 診療時間 | 月 | 火 | 水 | 木 | 金 | 土 | 日 |
|---|---|---|---|---|---|---|---|
| 9:00~13:00 | ● | ● | ● | / | ● | ● | / |
| 14:30~18:30 | ● | ● | ● | / | ● | / | / |
※定休日:木曜・日曜・祝日
※インプラント手術:平日・土曜 毎日対応!
+月1回 日曜特別手術日あり
※祝日のある週は木曜日診療あり
| 診療時間 | 月 | 火 | 水 | 木 | 金 | 土 | 日 |
|---|---|---|---|---|---|---|---|
| 9:00~13:00 | ● | ● | ● | / | ● | ● | / |
| 14:30~18:30 | ● | ● | ● | / | ● | / | / |
※定休日:木曜・日曜・祝日
※インプラント手術:平日・土曜 毎日対応!
+月1回 日曜特別手術日あり
※祝日のある週は木曜日診療あり
歯の問題は「お口の問題」だけでは止まりません。例えば、身体の健康。「歯がボロボロ」の場合、「噛み合わせ」が悪くなり、「不定愁訴(頭痛/腰痛/肩こり)」になることがあります。
また、歯周病は次のような病気に関連しているとも言われています。
・糖尿病・早産/低体重出産・心筋梗塞・脳梗塞そして「患者さんの心」への問題です。歯が原因で「コミュニケーションが苦手」になっていませんか?ボロボロの歯でも、ちゃんとした歯科医院で治療することで、本当に綺麗に改善します。
ななつ星デンタルクリニックでは、治療を強くすすめることはありません。最終判断は、患者さんの意思になります。まずは、どのような医院なのか、担当医はどのような感じなのかを感じに来院いただけたらと思います。
歯のお悩みは、
まず無料カウンセリングへ